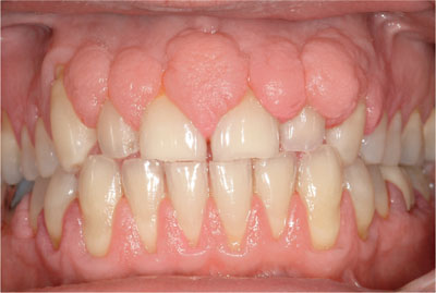
Gingival hyperplasia is an overgrowth of gum tissue around the teeth. There are a number of causes for this condition, but it’s often a symptom of poor oral hygiene or a side effect of using certain medications.
If left untreated, this oral condition can affect the alignment of your teeth and increase the risk of developing gum disease. Gingival hyperplasia can be resolved by improving oral hygiene habits. In more severe cases, surgical treatment is necessary.
Gingival hyperplasia is also referred to as:
- gingival overgrowth
- gum enlargement
- hypertrophy
- hypertrophic gingivitis
Gingival hyperplasia can be painful and can affect your oral health. One of the more common characteristics of this condition is having red, bleeding gums.
Other symptoms associated with gum overgrowth include:
- tender gums
- inflammation
- pain
- bad breath
- plaque buildup on teeth
In more severe cases, the gums can completely cover the teeth, affecting hygiene and teeth alignment. If your teeth are covered, they will be difficult to clean. This could increase your risk of developing gum disease. If you develop gingival overgrowth at a younger age, it could affect tooth eruption or the process where your teeth grow in and become visible.
Gingival (gum) overgrowth is often caused by inflammation. It can also be drug-induced, as a side effect of prescribed medications. Common medications that can cause this overgrowth include:
- antiseizure drugs
- immunosuppressants
- calcium channel blockers, or drugs used to treat high blood pressure and other heart-related conditions
This condition often resolves once a person stops taking the prescribed medication.
Other causes can be categorized into groups: inflammatory gum enlargement, systemic causes, and hereditary gingival fibromatosis.
1. Inflammatory gum enlargement
Gingival hyperplasia can occur as a direct result of inflammation. The inflammation is often caused by plaque buildup on the teeth from food, bacteria, and poor hygiene practices.
The inflammation can make the gums tender and red, and it can trigger bleeding. Proper hygiene techniques, such as daily flossing and effective brushing, can improve this condition.
2. Systemic causes
Other causes of gingival hyperplasia are more physiologic. Pregnancy, hormonal imbalances, and some diseases such as leukemia can trigger gum overgrowth. Other diseases or conditions that could cause gum overgrowth include:
- HIV
- diabetes
- anemia
- Crohn’s disease
- lymphoma
- vitamin deficiencies
The condition usually improves once the underlying cause has been treated. In the case of pregnancy, gum enlargement improves once the baby has been delivered.
Proper oral hygiene can improve symptoms and reduce the risk of developing this condition.
3. Hereditary gingival fibromatosis
Hereditary gingival fibromatosis (HGF) is a rare oral condition that causes slow, progressive gum enlargement. It often begins in childhood, but it may not be noticeable until adulthood.
The gingival overgrowth from this condition is caused by an overproduction of collagen. In some cases of this condition, the gums will cover major parts of the tooth surfaces or cover them completely.
Treating gingival hyperplasia often depends on the underlying cause. In many cases, improved oral hygiene can prevent or improve symptoms and resolve this condition. However, if gum overgrowth is a product of medication or disease, doctors may recommend surgery.
Gingival hyperplasia can be a recurrent condition despite improvements in oral hygiene, professional treatment, and drug substitutions. In such cases, overgrown gums may need to be surgically removed. Periodontists can perform this surgery with a scalpel or laser.
Some procedures used to remove overgrown gums include:
- Laser excision. A periodontist will use lasers to remove inflamed gum tissue. Once the gums are removed, the periodontist will scrape any plaque buildup around the roots of your teeth.
- Electrosurgery. In electrosurgery, your periodontist applies electric currents to your gum tissue to cut or remove what has overgrown.
- Periodontal flap surgery. This procedure separates the gums from the teeth. The gums are folded back temporarily to allow the periodontist access to remove inflamed tissue and clean any plaque or tartar.
- Gingivectomy. A gingivectomy removes a portion of your gums from around your teeth. A periodontist will trim and remove diseased gums, and then repair your remaining gums with stitches.
Gingival hyperplasia is an oral condition that causes your gums to overgrow. In more severe cases, your gums can completely cover your teeth, making it difficult to maintain effective oral hygiene habits. Improved oral hygiene can often resolve this condition and improve symptoms. In other cases, treatment depends on the underlying cause.
If you’re experiencing irregular symptoms or if you’re worried about your oral health, make an appointment to see your local dentist.

Post a Comment